Soins
Esthétiques / Prothétiques
Les soins esthétiques visent à créer un sourire harmonieux et personnalisé.
Après l’étude de vos besoins, votre praticien vous conseille la solution la plus adaptée. Les facettes dentaires permettent de corriger la forme, la couleur et l’alignement grâce à de fines pellicules en céramique collées sur les dents.
Le blanchiment est une option plus légère, agissant uniquement sur la teinte des dents. Les soins prothétiques sont indiqués lorsque les dents sont abîmées : couronnes, bridges ou stellites, selon la situation clinique.
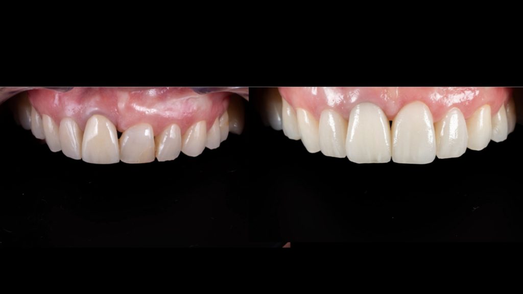
Facettes dentaire :
Une dent peut être aisément et rapidement embellie par la pose d’une très fine facette en céramique. Cette technique s’intéresse uniquement à la face externe de la dent, celle que l’on voit, afin de rectifier sa forme, sa position, sa teinte, une usure, une trace… Les facettes sont posées uniquement sur des dents saines, un examen bucco-dentaire préalable est donc nécessaire afin de vérifier la bonne santé de la dent, mais aussi de sa structure de soutien (parodonte). Ici aussi, notre proposition esthétique tiendra compte de votre visage et de votre sourire afin qu’il demeure naturel.
Effets attendus aprés la pose de facette :
- Changement de couleur
- Améliorer l'alignement dentaire (corriger les chevauchement, compenser les differences de hauteur et combler les espaces)
- Modifier la forme et l'apparence des formes
- En cas de maladie parodontale : masquer les racines et cacher les trous noirs
Blanchiment dentaire
En effet, les résultats d'éclaicissement sont visibles dès la première séance. Le blanchiment dentaire ambulatoire consiste à porter une gouttière de jour ou de nuit pendant plusieurs jours d’affilés. Cette gouttière buccale est en plastique transparent, fabriquée sur mesure et remplie d’un gel de péroxyde d’hydrogène (jour) ou de péroxyde de carbamide (nuit) à une concentration précise afin de ne pas irriter.
Couronnes et bridges :
La priorité du praticien de l’art dentaire est de conserver au maximum les dents originelles en s’assurant qu’elles restent saines. Personne n’est cependant à l’abri d’une fragilité dentaire qui a mené à une reconstruction, voire à une extraction.
Les couronnes et les bridges permettent à l’heure actuelle d’obtenir des résultats à la fois fonctionnels et esthétiques.
La couronne est une coiffe qui recouvre la dent initiale afin de lui rendre son intégrité. Le bridge permet, lui, de remplacer plusieurs dents absentes en prenant appui (« bridge » = pont en anglais) sur les dents voisines. La réalisation et la pose de couronnes ou d’un bridge se fait en plusieurs étapes afin de garantir le meilleur résultat.
Le stellite / Prothèses amovibles partielles
Le stellite dentaire est une prothèse dentaire partielle et amovible qui permet de remplacer une ou plusieurs dents manquantes. Le stellite dentaire est maintenu dans la bouche par des crochets entourant les dents naturelles sur lesquelles il prend appui. Sa pose requiert par conséquent la présence d’au moins 2 dents naturelles ou couronnées. Ce type de prothèse n’est donc pas adapté pour remplacer une dentition complète.
Selon les besoins, il est possible d’avoir recours à un stellite (pour la mâchoire supérieure ou inférieure), mais aussi d’utiliser 2 stellites complémentaires si les dents manquantes sont situées à la fois en bas et en haut.
Prise de rendez vous auprés des spécialistes ci-contre
Chirurgien dentiste
* excepté pose facette
Chirurgien dentiste
Chirurgien dentiste
