Chirurgie Muco-gingivale
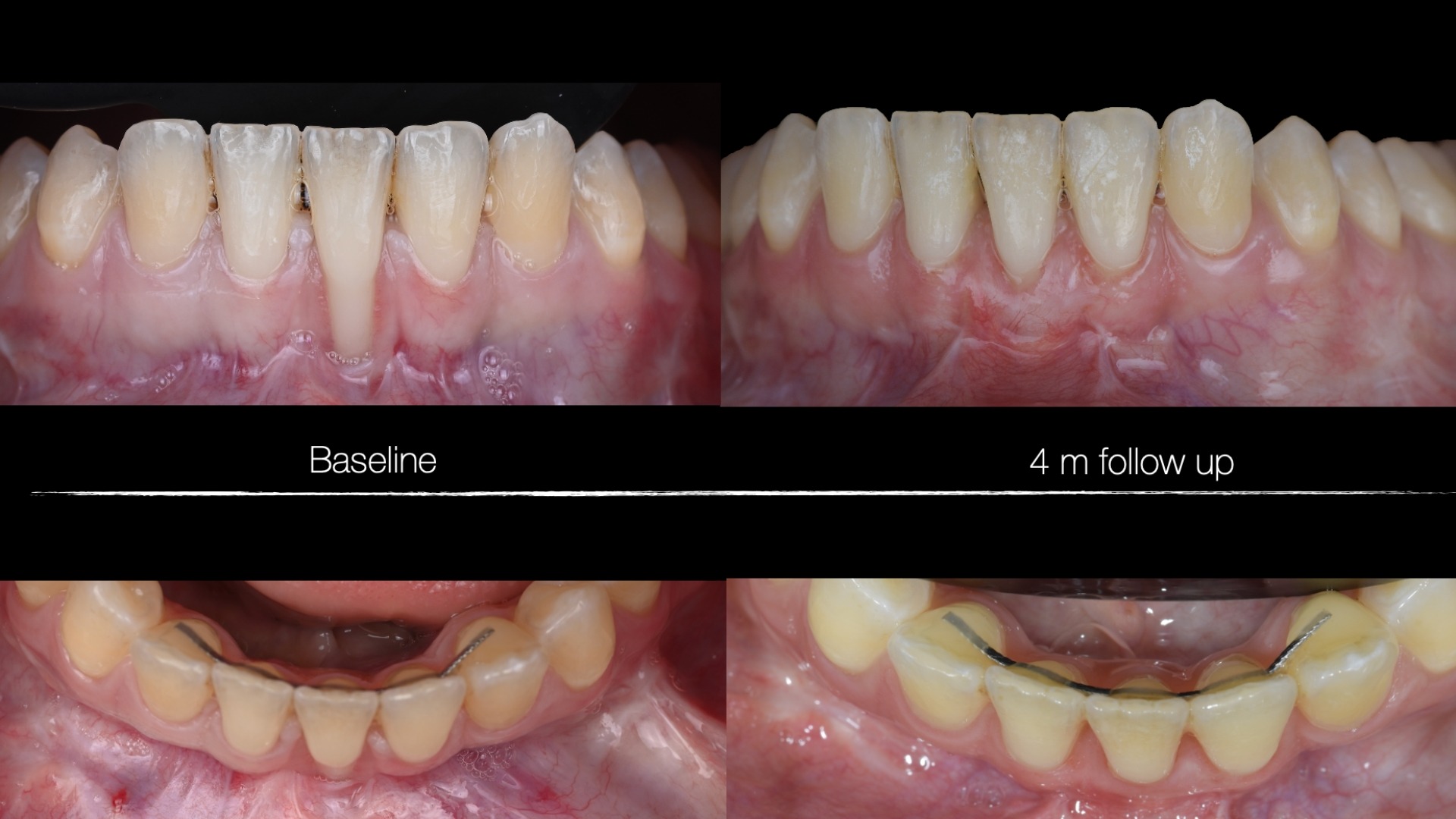
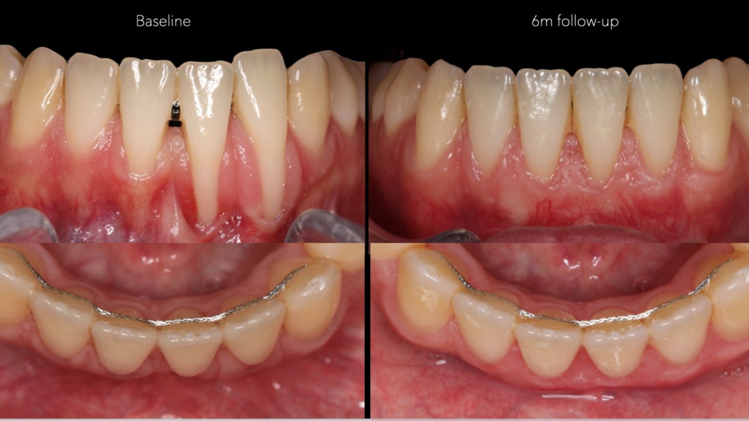
La récession gingivale : comprendre, prévenir et traiter La récession gingivale correspond à un retrait progressif de la gencive autour de la dent, exposant ainsi une partie de la racine dentaire.
Ce phénomène, peut entraîner une sensibilité dentaire accrue, une altération esthétique et, à long terme, un risque de perte parodontale.
Les causes de ce phénomène sont multiples :
• Un brossage trop appuyé ou inadapté.
• Une gencive fine.
• Une inflammation chronique.
• Des facteurs anatomiques (freins, malpositions).
• Un traitement orthodontique.
Pourquoi consulter ?
Une récession gingivale ne se corrige pas spontanément.
Il est important de consulter dès les premiers signes afin d’en déterminer la cause et d’éviter une aggravation.
Une expertise dédiée à la santé gingivale
Au cabinet, les récessions gingivales sont prises en charge par le Docteur BIRGY C., ancienne Interne en Parodontologie à l’Hôpital Universitaire Saint-Luc (Bruxelles), où elle a exercé durant trois années à temps plein.
Son approche repose sur une analyse complète du parodonte, la prévention des récidives, et la restauration esthétique et fonctionnelle des tissus gingivaux.
Prenez rendez-vous
Si vous observez une gencive qui se rétracte, une dent plus sensible ou un changement esthétique, il est recommandé de réaliser un bilan parodontal.
Lors de cette consultation, notre spécialiste évaluera précisément l’état de vos gencives, identifiera les causes possibles (hygiène, orthodontie, anatomie, habitudes) et proposera un plan de traitement personnalisé pour préserver durablement vos dents et votre sourire.
Prenez rendez-vous dès aujourd’hui pour une consultation en parodontologie.
Prise de rendez vous auprés du specialiste ci contre
Chirurgien Dentiste - Exercice exclusif Parodontologie et Implantologie
