Chirurgie orale
La chirurgie orale comprend :
- Extraction de dents incluses (ex : dents de sagesse)
- Implant dentaire
- Greffe osseuse (sinus lift, greffe d’apposition…)
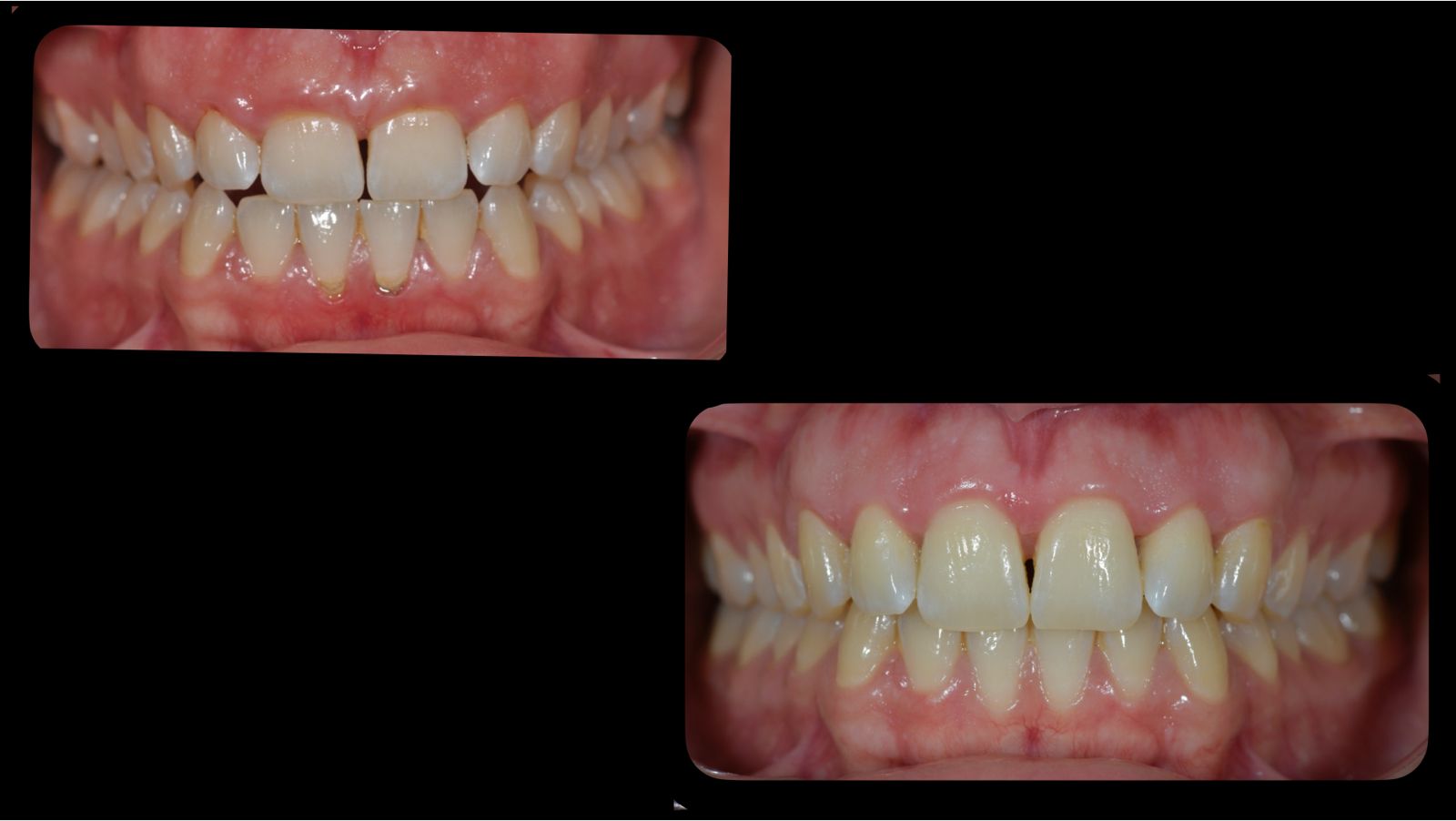
- Greffe gingivale (Tunnel, lambeau apicale, épithélio-conjonctif)
- Gingivectomie / Gingivoplastie
- Chirurgie parodontale (lambeaux, assainissement profond)
- Freinectomie (frein labial ou lingual)
- Petites chirurgies orales nécessitant un environnement stérile
Extraction dentaire
L’extraction dentaire (ou avulsion) est un acte chirurgical réalisé sous anesthésie locale. Elle doit être effectuée par un professionnel de santé afin d’éviter toute complication pendant l’intervention ou en post-opératoire. Dans le cadre d’une planification implantaire, il est essentiel de préserver un maximum de volume osseux pour garantir la pose d’un implant dans les meilleures conditions. Si nécessaire, un comblement osseux peut être réalisé à l’aide d’un bio-matériau afin de stabiliser et renforcer la zone. Cette planification se fait en amont grâce à un scan dentaire, puis est confirmée lors de l’intervention chirurgicale, selon l’évaluation du praticien.
Extraction dents de sagesse
Les dents de sagesse servaient autrefois à mastiquer longuement les végétaux et les viandes non cuites. L’homme moderne a augmenté la taille de son cerveau et diminué la taille de sa mâchoire, mais les dents de sagesse demeurent malheureusement. Lorsque l'espace est inadéquat ou que celle-ci entraine un infection il devient urgent de l'extraire.
Gingivectomie
La gingivectomie est une spécialité de la chirurgie dentaire qui se focalise sur le traitement des gencives. Le but de cette intervention chirurgicale est d'exciser l'excédent de gencive qui recouvre une dent pour retrouver un sourire harmonieux, et une forme dentaire adéquat.


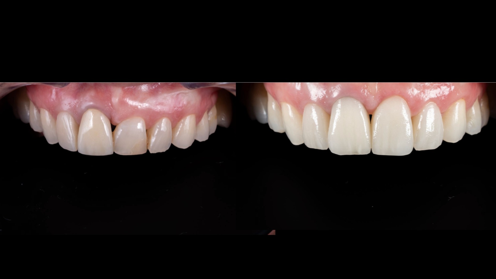
Greffe osseuse transversale et verticale
La greffe osseuse est une chirurgie réalisée en clinique dentaire, qui vise à redonner du volume à l’os de la mâchoire. Cette intervention doit parfois être réalisée avant la mise en place d’un ou de plusieurs implants dentaires dans l’os, afin d’améliorer la qualité de ce dernier.
Sinus lift
Au niveau des molaires supérieures, le volume d’os résiduel pour placer des implants est souvent insuffisant. Ceci est dû à la présence, juste au-dessus de ces dents, du sinus maxillaire qui est une cavité remplie d’air et tapissée d’une fine membrane. Lorsque ce sinus est volumineux, ce qui est fréquent, la mise en place d’implants à ce niveau nécessite d’augmenter artificiellement le volume osseux par une greffe osseuse intra-sinusienne. C’est ce qu’on appelle un Sinus Lift ou encore élévation du plancher sinusien.
Prenez rendez-vous
Si vous avez une dent à retirer, un inconfort, une gencive qui se rétracte ou si votre dentiste vous a conseillé un traitement spécifique, nous sommes là pour vous accompagner en toute sécurité.
Notre service de chirurgie orale réalise, dans un environnement stérile et contrôlé, les soins tels que :
Extractions (y compris dents de sagesse), implants dentaires, greffes osseuses, greffes gingivales, chirurgie parodontale, freinectomie.
Lors de la consultation, nous prenons le temps d’écouter vos besoins, d’expliquer chaque étape et de vous proposer un plan de traitement adapté, en veillant à votre confort et à votre bien-être.
Prenez rendez-vous pour une consultation en chirurgie orale en toute confiance.
Prise de rendez vous auprés des spécialistes ci contre
Chirurgien dentiste & Exercice exclusif Implantologie
Chirurgien Dentiste - Exercice exclusif Parodontologie et Implantologie
